di Alice Scuderi
Diventare madre significa tante cose, tra le altre imparare a tollerare i confronti, di tutti i generi: tua figlia rispetto agli altri bambini, le tue scelte rispetto a quelle delle altre mamme, e ultimo, ma non certo per frequenza, la ricerca delle somiglianze fra la tua prole e i parenti.
È un dato di fatto che per la famiglia del papà la pargola sia in tutto e per tutto spiccicata a loro, sono capaci di tirarti fuori il trisavolo Nevio emigrato in Australia pur di scovare un dettaglio che li accomuni. A me non dà particolarmente fastidio: se l’ho sposato è anche perché lo trovo bello, quindi ben venga che mia figlia gli assomigli. Certo però che a sentirsi dire in continuazione che di tuo non ha niente, ti girano un po’ e poi, l’illuminazione: col cavolo, a mia figlia ho donato una cosa essenziale, che non ha niente a che fare con la famiglia di mio marito, ma che anzi deriva da mia mamma, e da mia nonna, e dalla mia bisnonna, e via così, fino alla prima donna in comune a tutte noi.
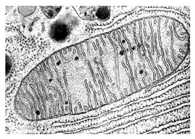
Sì, perché in tutte le cellule che formano il bellissimo corpicino della mia bambina c’è un organello fondamentale, da cui dipende il loro funzionamento e che permette a lei di macinare chilometri gattonando per casa. Si chiama mitocondrio ed è la centrale energetica che produce il carburante più importante della cellula: l’ATP. Che non è la sigla di una sgangherata azienda di trasporti pubblici né di un’oscura società per azioni. È una molecola dal nome complicato (uno di quelli da terrore dell’esame di biochimica), che trasporta energia da utilizzare per le innumerevoli reazioni che avvengono nella cellula. Per produrla, il mitocondrio consuma ossigeno e produce anidride carbonica, proprio come i nostri polmoni, ed è per questo che alla sua attività viene dato il nome di respirazione cellulare. Ma non è solo questo che lo rende speciale: il mitocondrio è infatti l’unico organello, oltre il nucleo ovviamente, a possedere un suo DNA, una caratteristica che racconta la sua particolare origine. Si narra che miliardi di anni fa, quando l’arca era solo un progetto su carta e Dio era ancora in vacanza in qualche altra galassia, una delle antenate della moderna cellula eucariote, ossessionata dalla sua triste mancanza di complessità interna, decise di inglobare un batterio di passaggio. Così, senza preliminari né uscite romantiche. E quel batterio, pur conservando qualcosa di sé, il suo prezioso DNA, entrò a far parte di lei donandole non l’amore, che quella è roba da sentimentali, ma qualcosa di ben più importante: la capacità di sintetizzare un vettore energetico. Quanta poesia!
Ma allora perché se tutte le cellule contengono mitocondri, comprese cellule uovo e spermatozoi, i figli ereditano solo quelli delle madri? Durante la fecondazione, nella cellula uovo entra solo la testa dello spermatozoo, perciò i mitocondri contenuti nelle code non hanno alcun accesso e se, per caso, qualcuno presente nella testa dovesse passare beh… la cellula uovo li fa fuori, ZAC! Sesso debole un par di ciufoli!
A parte però il femminismo molecolare, la storia dei mitocondri è emozionante perché ci racconta quanto alla fin della fiera, nonostante il razzismo da quattro soldi e da milioni di vite, abbiamo una meravigliosa origine unica, una comune linea di discendenza femminile originata da una donna: Eva mitocondriale l’hanno chiamata i ricercatori, anche se ci ha donato ben più di un morso di mela.
Quindi d’ora in poi, quando l’ennesimo parente vi farà notare quanto vostro figlio assomigli al papà in tutto e per tutto, saprete cosa dire: <<D’accordo, ma i mitocondri son decisamente i miei!>>.
